Sonrisas Dental Center provides traditional braces in Austin and Cedar Park, a proven orthodontic solution that effectively treats misalignment and malocclusion. Choose from metal or ceramic options for a confident smile transformation.
What Are Traditional Braces?
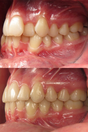
Traditional braces are a time-tested orthodontic solution to correct dental misalignments and malocclusions. Consisting of metal or ceramic brackets bonded to teeth, they work in conjunction with archwires and elastic bands to gently guide teeth into proper alignment over time. With their proven effectiveness, traditional braces remain popular for individuals seeking a reliable solution for their orthodontic issues.
What Problems Can Braces Help Correct?
- Dental misalignments
- Malocclusions
- Overcrowded teeth
- Crooked teeth
- Gaps between teeth
- Bite issues (overbite, underbite, crossbite)
Types of Traditional Braces We Offer
Metallic Braces
Metallic braces are the most common type of traditional braces, known for their durability and effectiveness in treating orthodontic issues. Composed of high-grade stainless steel brackets and archwires, they exert controlled pressure on teeth to guide them into proper alignment. With advancements in design, modern metallic braces are smaller, more comfortable, and less conspicuous than older versions.
Ceramic Braces
Ceramic braces are a popular alternative to metallic braces, offering a more discreet orthodontic solution. Made from clear or tooth-colored ceramic materials, they blend in with the natural color of teeth, making them less noticeable. Though this option of traditional braces in Cedar Park and Austin is slightly larger than metallic braces, they remain an attractive choice for those concerned about appearance during treatment. Ceramic braces effectively correct dental misalignments and deliver excellent results.
What Are the Benefits of Braces?
- Effective and time-tested solution
- Corrects various orthodontic issues
- Suitable for all age groups
- Metal and ceramic options available
- Customizable treatment plans
- Can improve oral health and hygiene
- Enhances facial aesthetics and smile confidence
- Long-term, permanent results
- Affordable compared to some alternatives
The 4 Key Steps of Your Braces Treatment
Step 1. Initial Consultation
The orthodontic journey begins with a comprehensive consultation with our experienced orthodontists. During this visit, we examine your teeth, jaws, and oral health to assess if traditional braces are the ideal treatment for your needs. X-rays, photographs, and impressions may be taken to create a personalized treatment plan tailored to your unique dental situation.
Step 2. Braces Placement
Your orthodontist will clean and dry your teeth before carefully bonding the brackets onto the surface of each tooth using dental cement. The brackets are strategically placed to ensure optimal tooth movement during treatment. The orthodontist will thread an archwire through the brackets, secured with elastic ties or small metal ligatures.
Step 3. Adjustments and Tightening
During your treatment for traditional braces in Austin and Cedar Park, you must visit our dental center periodically for adjustments every few weeks. During these visits, the orthodontist will replace the archwire with a slightly thicker one or make other modifications to continue applying gentle pressure on your teeth. These adjustments are essential as they help progress your treatment, aligning your teeth step-by-step.
Step 4. Braces Removal and Retainers
Once your teeth have reached their desired positions, the orthodontist will remove your braces. After removing the brackets and archwires, your orthodontist may polish your teeth and take impressions for retainers to stabilize your teeth in their new positions and prevent them from shifting back. Wearing retainers is crucial for the long-term success of your treatment.
Real Patient Reviews
Traditional Braces vs. Clear Aligners
Traditional braces and clear aligners are two popular orthodontic treatments with unique advantages. Traditional braces are effective for various complex dental issues, while clear aligners offer a nearly invisible and removable option. Braces are fixed, requiring professional adjustments, while aligners offer more flexibility for eating and oral hygiene. Our highly skilled orthodontists will help you determine which style of braces will work best for your treatment goals, lifestyle, and personal preferences.
Lily's Experience at Sonrisas Dental Center
Traditional Braces FAQs
How old do you have to be to get braces?
There is no specific age for getting braces. Typically, orthodontic treatment with braces begins between the ages of 8 and 14 when most permanent teeth have erupted. However, adults of any age can also benefit from traditional braces in Austin and Cedar Park to correct dental misalignments.
Are traditional braces more expensive?
The cost of traditional braces varies based on individual treatment needs and duration. Generally, traditional braces are considered cost-effective compared to other orthodontic options like clear aligners or lingual braces. Insurance plans often cover a portion of the cost.
Can my teeth become crooked after I've had braces?
After braces are removed, there is a risk that teeth can shift back to their original positions. To prevent this, orthodontists provide retainers, which must be worn as directed to maintain the new alignment. Consistent use of retainers can prevent teeth from becoming crooked again.
Are traditional braces more effective?
Traditional braces are highly effective in treating a wide range of orthodontic issues, including severe misalignments, overcrowding, and complex bite problems. Their fixed nature allows for precise and continuous pressure on the teeth, thus ensuring consistent and reliable results.
Are braces painful?
While braces are not inherently painful, some discomfort and soreness can occur, especially after initial placement and subsequent adjustments. This discomfort is typically mild and temporary and subsides within a few days. Over-the-counter pain relievers and orthodontic wax can help alleviate any irritation caused by braces.
Why Get Traditional Braces In Austin & Cedar Park with Sonrisas?
Sonrisas Dental Center is your go-to destination for achieving a beautifully straight smile with traditional braces in Austin and Cedar Park. Our experienced orthodontists are ready to tailor a personalized treatment plan for you. Don’t hesitate to schedule a consultation and take the first step towards a confident, aligned smile. Join countless satisfied patients who have experienced the transformative power of traditional braces. Call us today to book your consultation!



