New Patient Forms | Patient Portal | Virtual Consultation | Sonrisas Training Center | Free Ortho Consults
Home » Gallery
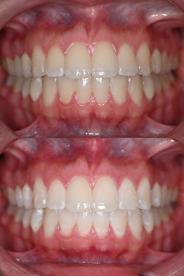
Expansion
Crowding